Editorial
Editorial
Vivemos uma revolução silenciosa e irreversível na Odontologia. Mais do que avanços tecnológicos ou novos materiais restauradores, o que está em curso é uma profunda reformulação na forma como entendemos a saúde bucal, o papel do cirurgião-dentista e, principalmente, o perfil do paciente. Esse novo ciclo não é impulsionado por uma técnica, mas por um conceito: a Odontologia do Estilo de Vida (OEV). A OEV é uma proposta metodológica inédita, registrada como propriedade intelectual, que reconhece o impacto dos hábitos de vida na manifestação de doenças bucais. Ela nasce...
Autores: Paulo Vinicius Soares,
Vivemos uma revolução silenciosa e irreversível na Odontologia. Mais do que avanços tecnológicos ou novos materiais restauradores, o que está em curso é uma profunda reformulação na forma como entendemos a saúde bucal, o papel do cirurgião-dentista e, principalmente, o perfil do paciente. Esse novo ciclo não é impulsionado por uma técnica, mas por um conceito: a Odontologia do Estilo de Vida (OEV). A OEV é uma proposta metodológica inédita, registrada como propriedade...
A fotobiomodulação (PBM) refere-se à aplicação controlada de luz não ionizante (nos comprimentos de onda visível, vermelho ou infravermelho – não visível) para modular respostas biológicas celulares e teciduais. A luz emitida incide no tecido-alvo e interage com cromóforos celulares (moléculas sensíveis à luz, como a Citocromo C-Oxidase, presentes na mitocôndria). Essa interação desencadeia reações fotoquímicas e vias de sinalização intracelular que promovem: aumento...
Nos últimos anos, a Odontologia tem presenciado uma transformação silenciosa, porém poderosa: a presença cada vez mais expressiva das mulheres. Seja nos consultórios, nas palestras, nas universidades, na pesquisa ou na gestão, o número de profissionais do sexo feminino não apenas cresce, mas redefine a forma de exercer a profissão. A mulher dentista carrega consigo um equilíbrio singular entre competência técnica, sensibilidade e visão estética. E é justamente essa...
Nos últimos vinte anos, os materiais restauradores têm passado por profunda transformação. Se antes o foco era puramente mecânico e estético, hoje, o olhar se volta para materiais inteligentes, bioativos, bioinspirados, biomiméticos, antimicrobianos... Em outras palavras, restaurações que não apenas substituam tecido dental perdido, mas que interajam biologicamente com o meio bucal e atuem preventivamente contra diferentes causas de falha clínica de restauração, especialmente a...
Olá leitor! Muito se falou a respeito do novo consenso sobre as definições de bruxismo. Então, resolvi fazer um resumo sobre o que foi discutido. O bruxismo é uma atividade muscular mastigatória repetitiva, com manifestações distintas durante o sono ou a vigília. Tradicionalmente tratado como uma condição patológica, ele tem sido alvo de revisões conceituais importantes ao longo dos anos. Em 2024, um grupo internacional de especialistas reuniu-se durante o encontro da International...
Esta coluna propõe um olhar atento sobre a presença, os desafios e as contribuições das mulheres na Odontologia. Tempo de Fala parte do reconhecimento de que o percurso feminino na profissão é construído por conquistas significativas, mas ainda atravessado por desigualdades que limitam a visibilidade das mulheres, especialmente daquelas em fases mais maduras da carreira.
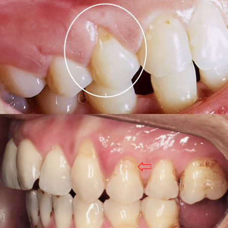
Introdução: São cinco as lesões ou doenças ‘verdadeiramente’ cervicais, por terem origem exclusivamente nessa região. Objetivo: Neste artigo Parte 2, discorre-se sobre a abfração dentária. Metodologia: Estabelece-se o raciocínio quanto à sua etiopatogenia, no contexto da lesão de trauma oclusal; e ao seu diagnóstico precoce, pela hipersensibilidade dentária. Resultado e Discussão: O descompasso entre a capacidade de deformação do esmalte, dentina e cemento sob forças...
Você consegue responder por que pacientes que seguem rigorosamente todas as recomendações odontológicas, mantêm higiene adequada e realizam tratamentos regulares ainda assim experimentam deterioração progressiva e implacável da saúde bucal? Na primeira edição desta coluna, apresentamos um velho tema com uma nova abordagem: o Colapso Bucal, um fenômeno clínico que acomete pacientes em todo o mundo. Discutimos como fatores biológicos, mecânicos e químicos interagem no processo...
Introdução: O processo de pós-cura é essencial para outorgar biocompatibilidade e boas propriedades para as resinas. Objetivo: O presente estudo avaliou como diferentes equipamentos de pós-cura influenciam nas propriedades de resinas para impressão 3D. Material e Métodos: As resinas e os equipamentos utilizados foram: Cosmos Temp A1, Cosmos Clear, Anycubic Wash & Cure, Elegoo Mercury Plus e FormCure. Espécimes de 25 x 2 x 2 mm foram impressos na Anycubic Mono 4, submetidos a lavagem...
Objetivo: Este artigo propõe e fundamenta o conceito inédito TomoMicroSonic (TMS), o qual é uma abordagem integrativa que une a Tomografia Computadorizada de Feixe Cônico (TCFC), o Microscópio Operatório (MO) e o Ultrassom (US) como pilares fundamentais para diagnósticos mais assertivos, tratamentos, retratamentos endodônticos e microcirurgias endodônticas mais precisos. Série de casos: Por meio de uma série de casos clínicos, demonstramos como a sinergia dessas três relevantes...
Introdução: A dor orofacial de origem funcional é uma condição multifatorial de alta prevalência na prática odontológica, frequentemente relacionada às disfunções temporomandibulares (DTM). Sua fisiopatologia envolve mecanismos periféricos e centrais modulados por fatores mecânicos, posturais e psicossociais. Objetivo: Apresentar um modelo diagnóstico fundamentado nos critérios ICOP (International Classification of Orofacial Pain) e DC/TMD (Diagnostic Criteria for...
We are experiencing a silent and irreversible revolution in Dentistry. More than technological advances or new restorative materials, what is underway is a profound reformulation in how we understand oral health, the role of the dentist, and, above all, the patient profile. This new cycle is not driven by a technique, but by a concept: Lifestyle Dentistry (LD). LD is a novel methodological proposal, registered as intellectual property, that recognizes the impact of lifestyle habits on the...
Photobiomodulation (PBM) refers to the controlled application of non-ionizing light (in the visible, red, or infrared—non-visible—wavelength ranges) to modulate cellular and tissue biological responses. The emitted light reaches the target tissue and interacts with cellular chromophores (light-sensitive molecules, such as cytochrome c oxidase within the mitochondria). This interaction triggers photochemical reactions and intracellular signaling pathways that promote: increased ATP...
In recent years, dentistry has witnessed a silent yet powerful transformation: the increasingly prominent presence of women. Whether in clinical practice, lectures, academia, research, or management, the number of female professionals has not only grown but has also redefined the very way the profession is practiced. The female dentist embodies a unique balance of technical competence, sensitivity, and aesthetic vision, a combination that makes the feminine perspective remarkably powerful. Yet...
Over the last twenty years, restorative materials have undergone profound changes. Whereas previously the focus was purely mechanical and aesthetic, today the emphasis is on intelligent, bioactive, bioinspired, biomimetic, antimicrobial materials... In other words, restorations that not only replace lost dental tissue, but also interact biologically with the oral environment and act preventively against different causes of clinical restoration failure, especially the most common one:...
Hello reader! Much has been said about the new consensus on the definitions of bruxism. So, I decided to summarise what was discussed. Bruxism is a repetitive masticatory muscle activity, with distinct manifestations during sleep or wakefulness. Traditionally treated as a pathological condition, it has been the subject of important conceptual revisions over the years. In 2024, an international group of experts met during the International Association for Dental, Oral and Craniofacial...
This column proposes a careful and reflective look at the presence, challenges, and contributions of women in Dentistry. Time to Speak stems from the recognition that the female professional journey is built upon significant achievements, yet remains permeated by inequalities that limit women’s visibility, especially those in more advanced stages of their careers. Women represent approximately 71% of dental surgeons in Brazil,¹ a figure that reflects competence, presence, and leadership....
Introduction: There are five 'truly' cervical lesions or diseases, because they originate exclusively in this region. In this second article, we discuss dental abfraction. Methodology: The reasoning regarding its etiopathogenesis in the context of occlusal trauma injury and its early diagnosis by dental hypersensitivity is established. Results and Discussion: The mismatch between the deformation capacity of enamel, dentin and cement under excessive and eccentric occlusal forces represents...
Why do patients who rigorously follow all dental recommendations, maintain proper hygiene, and undergo regular treatments still experience progressive and relentless deterioration of their oral health? In the first edition of this column, it was presented an old topic with a new approach: Oral Collapse, a clinical phenomenon affecting patients worldwide. We discussed how biological, mechanical, and chemical factors interact in the process of oral deterioration, creating a scenario of...
Introduction: The post-curing process is essential to ensure biocompatibility and adequate properties in 3D printing resins. Objective: This study evaluated how different post-curing devices influence the properties of 3D-printed resins. Material and Methods: The resins and devices used were Cosmos Temp A1, Cosmos Clear, Anycubic Wash & Cure, Elegoo Mercury Plus, and FormCure. Specimens measuring 25 × 2 × 2 mm were printed using an Anycubic Mono 4K printer, followed by isopropyl...
Objective: This article proposes and provides basis for the innovative TomoMicroSonic (TMS) concept, an integrative approach that combines Cone Beam Computed Tomography (CBCT), Operating Microscopy (OM), and Ultrasound (US) as fundamental pillars for more accurate endodontic diagnoses, treatments, retreatments, and more precise endodontic microsurgeries. Case Series: A series of case reports demonstrates how the interaction of these three relevant technologies enables superior standards of...
Introduction: Functional orofacial pain is a multifactorial condition frequently associated with temporomandibular disorders (TMD). Its pathophysiology involves peripheral and central mechanisms modulated by mechanical, postural, and psychosocial factors. Objective: To present a diagnostic model based on ICOP (International Classification of Orofacial Pain) and DC/ TMD (Diagnostic Criteria for Temporomandibular Disorders) criteria, and an integrative therapeutic approach emphasizing...